Skip to main content
DR YOUSSEF Lamjed
HOME
SERVICE
IMPLANTS
VENEERS
CROWN & BRIDGES
DENTURE
INVISALIGN
INAMI List
BEFORE/AFTER GALLERY
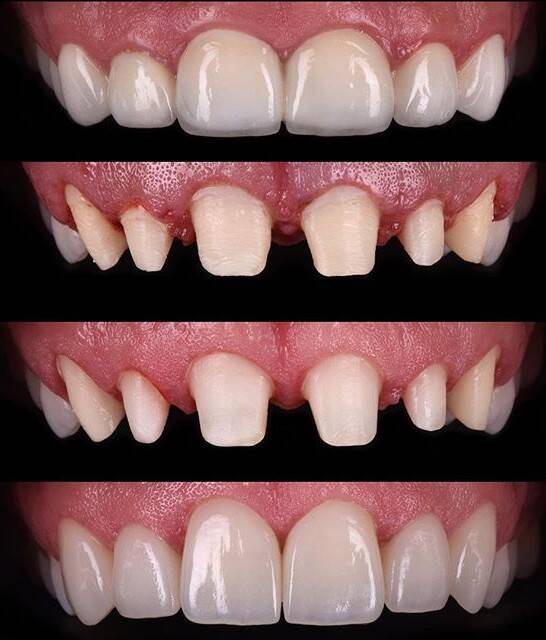
Crown & Bridges
Implants
Veneers
Clear Aligner
Denture
BOOK AN APPOINTMENT
CONTACT US
About us
EN/FR
Fixed Crown & Bridges